这个导致口臭的小脏东西, 90% 的人都有,每天刷牙也逃不掉

摘要

作为大年夜 夫,我们常常遇到来洗牙的朋侪,常常一边张嘴一边皱眉说:“我每天都刷牙啊,怎么又有牙结石?”有时间乃至半年不到来一次,大年夜 夫照旧摇摇头:“牙结石又长出来啦。”让人狐疑的是——这玩意到底是怎么

作为大年夜 夫,我们常常遇到来洗牙的朋侪,常常一边张嘴一边皱眉说:“我每天都刷牙啊,怎么又有牙结石?”


有时间乃至半年不到来一次,大年夜 夫照旧摇摇头:“牙结石又长出来啦。”


让人狐疑的是——这玩意到底是怎么回事?岂非牙膏没选对?照旧刷牙白刷了?而且 它大年夜 概就是你口臭的根源。


别急,我们先来搞清楚:牙结石到底是什么。


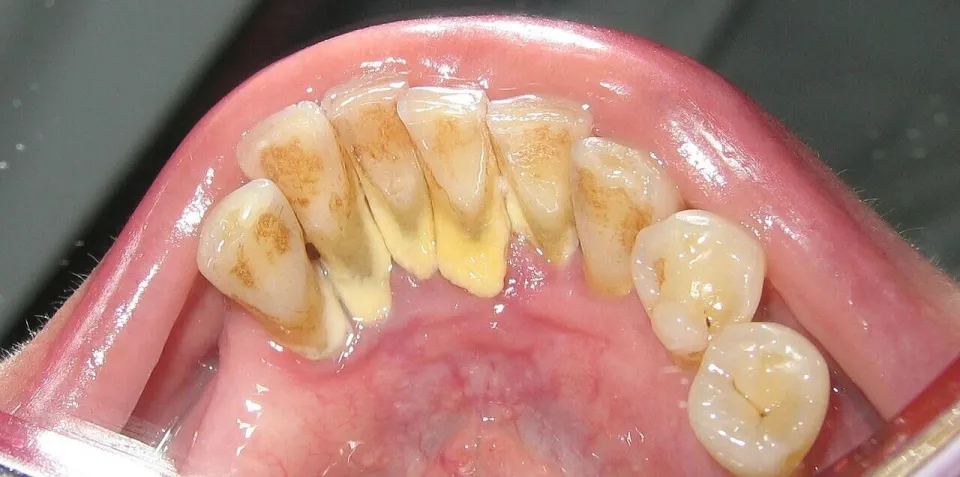
牙齿上的牙结石(牙根处黄色部分) 图源:wikipedia


牙结石是怎样形成的?


每天吃完饭、喝完奶茶、啃完鸡腿,牙齿外貌都邑 留下软软的牙垢。


如果放到显微镜下看,你会发现那是一层半透明、却布满细菌的“生物膜”,紧贴在牙齿外貌,险些包裹了全部 牙齿。


这就是牙菌斑,它是口腔细菌、食物残渣和唾液蛋白 的“互助产品 ”,每天、每时、每刻都在悄悄生长。


当牙菌斑没有被彻底刷掉,它就会越积越厚。与此同时,它还会不停吸取唾液中的矿物质(尤其是钙、磷等元素),很快,它就开端 “石化”,逐渐变硬。


严酷意义上说,这就是牙结石的雏形。只不过在刚形成的时间,它还比较松散 柔软,能颠末过程 认真刷牙、利用牙线清理掉。


一旦它完全钙化,那就相称于在牙齿上贴了一层硬壳,要完全去除靠平常牙刷根本力所不及 。不过牙结石也不是不会掉,当牙结石持续增多,乃至很多大年夜 夫都遇到过自称“牙齿碎了一块”的病人,实在碎下来的正是牙结石,确切说,掉下来的牙结石只是冰山一角而已 。


图源:收集

为什么每天刷牙,照旧有牙结石?


刷牙确切 能扫除大年夜 部分牙菌斑,但可惜,刷牙这件事并不是全能的。


问题在于——牙菌斑藏的地方 太多、太潜伏。


1

牙刷够不到


牙齿和牙齿交接处的牙缝、最后 磨牙的远端(接近 喉咙口)、牙龈沟(牙齿与牙龈的交界处),都是菌斑最容易躲的地方 ,也是我们刷牙哪怕刷得再认真,也很难 100% 扫除的地方 。


所以,即使每天早晚刷牙两次,菌斑依然能在这些角落里“重修家园”。


2

刷牙刷不合错误


横着刷、太用力、时间太短、没留意角度——都大年夜 概让症结 区域遗漏


如果每次都只刷牙齿的外侧面,忽略了牙齿的内侧面,那即是只洗脸不洗脖子。


另外,边刷牙边刷手机险些成了当代人的通病。有的人明显拿着牙刷两分钟,实际刷到牙齿上的时间大年夜 概连一分钟都不到。


3

口腔环境差别


确切 ,有的人二十年不洗牙牙结石没若干 ,有的人不到半年牙结石就聚积 如山,这一方面虽然 和平日的卫生风俗有关,另一方面,这确切 与小我 唾液身分有关,唾液中矿物质含量高、pH 偏碱性的人,更容易让牙菌斑钙化


这也解释了为什么牙结石最容易涌现 鄙人 门牙内侧、上后牙的外侧,这些地位 都是唾液腺开口处,矿物质源源不停供应,堪称牙结石的“高产区”。


牙结石除了丢脸,还能“制作 口臭”


只管很多人以为 口臭是胃不好,实在大年夜 多半 人口臭的缘故因由都在嘴巴里。


最常见的实在就是陪伴牙结石大年夜 量聚积 的牙周炎患者


图库版权图片,转载利用大年夜 概引发 版权轇轕


牙结石的外貌粗拙 、多孔,像极了细菌的“豪华酒店”。它会吸附食物残渣、让细菌积累,让这些细菌分化 蛋白 质、开释出臭鸡蛋气味的硫化物——也就是所谓的“口臭”。


虽然 ,口臭只不过是其中 一种微不敷道的伤害 ,不但如此,牙结石的持续存在还会刺激牙龈,让牙龈恒久发炎、出血,乃至导致牙齿的松动、疼痛、牙缝变大年夜 等牙周炎体现。


日常怎么防备牙结石?


实在防备牙结石,就是在防止牙菌斑“石化”的进程 。症结 就在于——定期阻断牙菌斑的生长、扫除卫生逝世 角


1

准确的刷牙方式


选择利用“巴氏刷牙法”,症结 点就是牙刷与牙齿呈 45° 角,轻压在牙龈沟处,短间隔水平颤抖,要知道,牙齿和牙龈交接的龈沟,是牙结石最爱聚积 的区域,往往最早期的牙结石就是从这里开端 发展 强盛起来。另外,也要留意牙齿内、外侧面和咬合面要“面面俱到”。


另外,刷牙的时间要充足。每次刷牙至少 2 分钟已经好坏常低的哀求 ,不信你自己下一次刷牙给自己记个时。


2

利用牙线或牙缝刷


对于很多人来说,利用牙线这一步乃至比刷牙还要告急。牙刷险些无法干净牙齿和牙齿交接处的牙缝,这个地位 牙菌斑也相称多,而牙线能扫除牙缝间的菌斑。


可千万别怕牙线的利用会让你的牙缝变大年夜 ,恰好相反,只有牙缝干净了,牙结石少了,牙龈才会淘汰萎缩,也更不容易有“缝”


图库版权图片,转载利用大年夜 概引发 版权轇轕


3

定期洗牙


已经形成的牙结石,任何牙膏和牙刷都刷不掉,只有颠末过程 超声波洁治(也就是我们说的“洗牙”),才华把它震除干净。而且,之所以写了“定期”两个字,就是由于牙结石会日复一日继续形成,哪怕刚刚洗过牙,牙结石也在以异常 迟钝的速度形成


是以 我们一样平常提议 各人 1~2 年洗一次牙,而已经有过牙周炎诊断的病人,可以半年做一次口腔查抄,如果大年夜 夫发现牙结石已经大年夜 量沉积了,那就要提前洗牙,而且大年夜 概还需要其他牙周基础治疗的操作。

 


参考文献

[1]孟焕新. 牙周病学(第5版). 北京: 国平易近 卫生出版社. 2020

[2]冯希平. 口腔防备医学(第7版). 北京: 国平易近 卫生出版社. 2020


策划制作

0

路过

0

雷人

0

握手

0

鲜花

0

鸡蛋

推广
火星云矿 | 预约S19Pro,享500抵1000!
本文暂无评论,快来抢沙发!

有招是一个优质的生活妙招创作平台,在这里,你可以任意分享你的妙招经验,日常生活、技能学习、成长励志、恋爱婚姻……我们相信,每个人都有独特的生活妙招,有着无穷的创造力。
  • 官方手机版

  • 微信公众号

  • 商务合作